
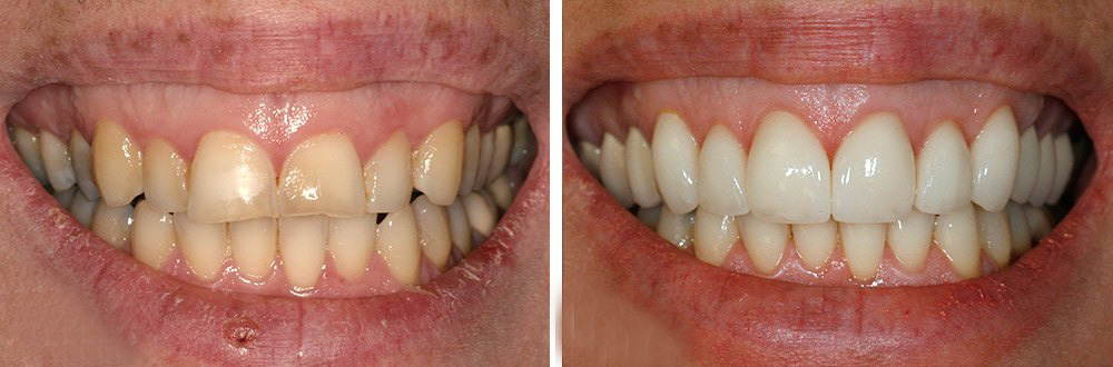
Restoratif diş hekimliği hayatınızı değiştirebilir, dişlerinizin doğal güzelliğini ve işlevselliğini geri getirebilir.
Smilestyle’da deneyimli ekibimiz, kapsamlı bir restoratif tedavi yelpazesi sunar ve benzersiz ihtiyaçlarınıza göre uyarlanmış en yüksek bakım standartlarını sunmaya kararlıdır.
Restoratif tedavilerimizin size mümkün olan en iyi sonuçları vermesini sağlamak için son teknoloji ve yüksek kaliteli malzemeler kullanıyoruz.
Çürükleri tedavi etmek için beyaz dolgulardan veya dolgulardan, eksik bir dişi estetik olarak değiştirmek için köprülere ve diş implantlarına kadar, restoratif seçeneklerimiz gülümsemenizi tamamlayabilir.
Optimum sağlık ve işlev için tüm ağzınızı bile rehabilite edebiliriz. En iyi ellerdesiniz – sizi tekrar gülümsetebiliriz.